XIRP2 Antibody | CSB-PA026196LA01HU

(No reviews yet) Write a Review
SKU:
CSB-PA026196LA01HU
Availability:
3 to 7 Working Days
  • XIRP2 Antibody
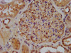
  • IHC image of CSB-PA026196LA01HU diluted at 1:300 and staining in paraffin-embedded human kidney tissue performed on a Leica BondTM system. After dewaxing and hydration, antigen retrieval was mediated by high pressure in a citrate buffer (pH 6.0) . Section was blocked with 10% normal goat serum 30min at RT. Then primary antibody (1% BSA) was incubated at 4°C overnight. The primary is detected by a biotinylated secondary antibody and visualized using an HRP conjugated SP system.
  • IHC image of CSB-PA026196LA01HU diluted at 1:300 and staining in paraffin-embedded human skeletal muscle tissue performed on a Leica BondTM system. After dewaxing and hydration, antigen retrieval was mediated by high pressure in a citrate buffer (pH 6.0) . Section was blocked with 10% normal goat serum 30min at RT. Then primary antibody (1% BSA) was incubated at 4°C overnight. The primary is detected by a biotinylated secondary antibody and visualized using an HRP conjugated SP system.
$378.96 - $586.44

Description

XIRP2 Antibody | CSB-PA026196LA01HU | Cusabio

XIRP2 Antibody is Available at Gentaur Genprice with the fastest delivery.

Online Order Payment is possible or send quotation to info@gentaur.com.

Product Type: Polyclonal Antibody

Target Names: XIRP2

Aliases: Xin actin-binding repeat-containing protein 2 (Beta-xin) (Cardiomyopathy-associated protein 3) (Xeplin), XIRP2, CMYA3

Background: Protects actin filaments from depolymerization.

Isotype: IgG

Conjugate: Non-conjugated

Clonality: Polyclonal

Uniport ID: A4UGR9

Host Species: Rabbit

Species Reactivity: Human

Immunogen: Recombinant Human Xin actin-binding repeat-containing protein 2 protein (2861-3004AA)

Immunogen Species: Human

Applications: ELISA, IHC

Tested Applications: ELISA, IHC; Recommended dilution: IHC:1:200-1:500

Purification Method: >95%, Protein G purified

Dilution Ratio1: ELISA:1:2000-1:10000

Dilution Ratio2: IHC:1:200-1:500

Dilution Ratio3:

Dilution Ratio4:

Dilution Ratio5:

Dilution Ratio6:

Buffer: Preservative: 0.03% Proclin 300
Constituents: 50% Glycerol, 0.01M PBS, pH 7.4

Form: Liquid

Storage: Upon receipt, store at -20°C or -80°C. Avoid repeated freeze.

Initial Research Areas: Signal Transduction

Research Areas: Signal transduction

View AllClose

0 Reviews

View AllClose