WNT9B Antibody | CSB-PA026146LA01HU

(No reviews yet) Write a Review
SKU:
CSB-PA026146LA01HU
Availability:
3 to 7 Working Days
  • WNT9B Antibody
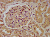
  • IHC image of CSB-PA026146LA01HU diluted at 1:200 and staining in paraffin-embedded human kidney tissue performed on a Leica BondTM system. After dewaxing and hydration, antigen retrieval was mediated by high pressure in a citrate buffer (pH 6.0) . Section was blocked with 10% normal goat serum 30min at RT. Then primary antibody (1% BSA) was incubated at 4°C overnight. The primary is detected by a biotinylated secondary antibody and visualized using an HRP conjugated SP system.
$378.96 - $586.44

Description

WNT9B Antibody | CSB-PA026146LA01HU | Cusabio

WNT9B Antibody is Available at Gentaur Genprice with the fastest delivery.

Online Order Payment is possible or send quotation to info@gentaur.com.

Product Type: Polyclonal Antibody

Target Names: WNT9B

Aliases: Protein Wnt-9b (Protein Wnt-14b) (Protein Wnt-15), WNT9B, WNT14B WNT15

Background: Ligand for members of the frizzled family of seven transmembrane receptors. Probable developmental protein. May be a signaling molecule which affects the development of discrete regions of tissues. Is likely to signal over only few cell diameters (By similarity) .

Isotype: IgG

Conjugate: Non-conjugated

Clonality: Polyclonal

Uniport ID: O14905

Host Species: Rabbit

Species Reactivity: Human

Immunogen: Recombinant Human Protein Wnt-9b protein (213-324AA)

Immunogen Species: Human

Applications: ELISA, IHC

Tested Applications: ELISA, IHC; Recommended dilution: IHC:1:200-1:500

Purification Method: >95%, Protein G purified

Dilution Ratio1: ELISA:1:2000-1:10000

Dilution Ratio2: IHC:1:200-1:500

Dilution Ratio3:

Dilution Ratio4:

Dilution Ratio5:

Dilution Ratio6:

Buffer: Preservative: 0.03% Proclin 300
Constituents: 50% Glycerol, 0.01M PBS, pH 7.4

Form: Liquid

Storage: Upon receipt, store at -20°C or -80°C. Avoid repeated freeze.

Initial Research Areas: Stem Cells

Research Areas: Stem cells

View AllClose

0 Reviews

View AllClose