PCCB Antibody | CSB-PA017523LA01HU

(No reviews yet) Write a Review
SKU:
CSB-PA017523LA01HU
Availability:
3 to 7 Working Days
  • PCCB Antibody
  • Western Blot<br />
 Positive WB detected in: Jurkat whole cell lysate<br />
 All lanes: PCCB antibody at 7.7µg/ml<br />
 Secondary<br />
 Goat polyclonal to rabbit IgG at 1/50000 dilution<br />
 Predicted band size: 59, 61 kDa<br />
 Observed band size: 59 kDa<br />
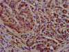
  • IHC image of CSB-PA017523LA01HU diluted at 1:300 and staining in paraffin-embedded human pancreatic cancer performed on a Leica BondTM system. After dewaxing and hydration, antigen retrieval was mediated by high pressure in a citrate buffer (pH 6.0) . Section was blocked with 10% normal goat serum 30min at RT. Then primary antibody (1% BSA) was incubated at 4°C overnight. The primary is detected by a biotinylated secondary antibody and visualized using an HRP conjugated SP system.
  • IHC image of CSB-PA017523LA01HU diluted at 1:300 and staining in paraffin-embedded human kidney tissue performed on a Leica BondTM system. After dewaxing and hydration, antigen retrieval was mediated by high pressure in a citrate buffer (pH 6.0) . Section was blocked with 10% normal goat serum 30min at RT. Then primary antibody (1% BSA) was incubated at 4°C overnight. The primary is detected by a biotinylated secondary antibody and visualized using an HRP conjugated SP system.
£252.64 - £390.96

Description

PCCB Antibody | CSB-PA017523LA01HU | Cusabio

PCCB Antibody is Available at Gentaur Genprice with the fastest delivery.

Online Order Payment is possible or send quotation to info@gentaur.com.

Product Type: Polyclonal Antibody

Target Names: PCCB

Aliases: Propionyl-CoA carboxylase beta chain, mitochondrial (PCCase subunit beta) (EC 6.4.1.3) (Propanoyl-CoA:carbon dioxide ligase subunit beta), PCCB

Background: cytosol, mitochondrial matrix, mitochondrion, CoA carboxylase activity, propionyl-CoA carboxylase activity, biotin metabolic process, fatty acid catabolic process, short-chain fatty acid catabolic process

Isotype: IgG

Conjugate: Non-conjugated

Clonality: Polyclonal

Uniport ID: P05166

Host Species: Rabbit

Species Reactivity: Human

Immunogen: Recombinant Human Propionyl-CoA carboxylase beta chain, mitochondrial protein (200-314AA)

Immunogen Species: Human

Applications: ELISA, WB, IHC

Tested Applications: ELISA, WB, IHC; Recommended dilution: WB:1:500-1:5000, IHC:1:200-1:500

Purification Method: >95%, Protein G purified

Dilution Ratio1: ELISA:1:2000-1:10000

Dilution Ratio2: WB:1:500-1:5000

Dilution Ratio3: IHC:1:200-1:500

Dilution Ratio4:

Dilution Ratio5:

Dilution Ratio6:

Buffer: Preservative: 0.03% Proclin 300
Constituents: 50% Glycerol, 0.01M PBS, pH 7.4

Form: Liquid

Storage: Upon receipt, store at -20°C or -80°C. Avoid repeated freeze.

Initial Research Areas: Signal Transduction

Research Areas: Metabolism;Signal transduction

View AllClose

0 Reviews

View AllClose