OTUD7B Antibody | CSB-PA753588LA01HU

(No reviews yet) Write a Review
SKU:
CSB-PA753588LA01HU
Availability:
3 to 7 Working Days
  • OTUD7B Antibody
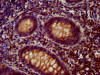
  • IHC image of CSB-PA753588LA01HU diluted at 1:400 and staining in paraffin-embedded human appendix tissue performed on a Leica BondTM system. After dewaxing and hydration, antigen retrieval was mediated by high pressure in a citrate buffer (pH 6.0) . Section was blocked with 10% normal goat serum 30min at RT. Then primary antibody (1% BSA) was incubated at 4°C overnight. The primary is detected by a biotinylated secondary antibody and visualized using an HRP conjugated SP system.
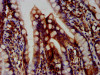
  • IHC image of CSB-PA753588LA01HU diluted at 1:400 and staining in paraffin-embedded human small intestine tissue performed on a Leica BondTM system. After dewaxing and hydration, antigen retrieval was mediated by high pressure in a citrate buffer (pH 6.0) . Section was blocked with 10% normal goat serum 30min at RT. Then primary antibody (1% BSA) was incubated at 4°C overnight. The primary is detected by a biotinylated secondary antibody and visualized using an HRP conjugated SP system.
  • Immunofluorescence staining of Hela cells with CSB-PA753588LA01HU at 1:133, counter-stained with DAPI. The cells were fixed in 4% formaldehyde, permeabilized using 0.2% Triton X-100 and blocked in 10% normal Goat Serum. The cells were then incubated with the antibody overnight at 4°C. The secondary antibody was Alexa Fluor 488-congugated AffiniPure Goat Anti-Rabbit IgG (H+L) .
€315.80 - €488.70

Description

OTUD7B Antibody | CSB-PA753588LA01HU | Cusabio

OTUD7B Antibody is Available at Gentaur Genprice with the fastest delivery.

Online Order Payment is possible or send quotation to info@gentaur.com.

Product Type: Polyclonal Antibody

Target Names: OTUD7B

Aliases: OTU domain-containing protein 7B (EC 3.4.19.12) (Cellular zinc finger anti-NF-kappa-B protein) (Cezanne) (Zinc finger A20 domain-containing protein 1) (Zinc finger protein Cezanne), OTUD7B, ZA20D1

Background: Negative regulator of the non-canonical NF-kappa-B pathway that acts by mediating deubiquitination of TRAF3, an inhibitor of the NF-kappa-B pathway, thereby acting as a negative regulator of B-cell responses. In response to non-canonical NF-kappa-B stimuli, deubiquitinates 'Lys-48'-linked polyubiquitin chains of TRAF3, preventing TRAF3 proteolysis and over-activation of non-canonical NF-kappa-B. Negatively regulates mucosal immunity against infections (By similarity) . Deubiquitinates ZAP70, and thereby regulates T cell receptor (TCR) signaling that leads to the activation of NF-kappa-B (PubMed:26903241) . Plays a role in T cell homeostasis and is required for normal T cell responses, including production of IFNG and IL2 (By similarity) . Mediates deubiquitination of EGFR (PubMed:22179831) . Has deubiquitinating activity toward 'Lys-11', 'Lys-48' and 'Lys-63'-linked polyubiquitin chains (PubMed:27732584) . Has a much higher catalytic rate with 'Lys-11'-linked polyubiquitin chains (in vitro) ; however the physiological significance of these data are unsure (PubMed:27732584) . Hydrolyzes both linear and branched forms of polyubiquitin.

Isotype: IgG

Conjugate: Non-conjugated

Clonality: Polyclonal

Uniport ID: Q6GQQ9

Host Species: Rabbit

Species Reactivity: Human

Immunogen: Recombinant Human OTU domain-containing protein 7B protein (235-347AA)

Immunogen Species: Human

Applications: ELISA, IHC, IF

Tested Applications: ELISA, IHC, IF; Recommended dilution: IHC:1:200-1:500, IF:1:50-1:200

Purification Method: >95%, Protein G purified

Dilution Ratio1: ELISA:1:2000-1:10000

Dilution Ratio2: IHC:1:200-1:500

Dilution Ratio3: IF:1:50-1:200

Dilution Ratio4:

Dilution Ratio5:

Dilution Ratio6:

Buffer: Preservative: 0.03% Proclin 300
Constituents: 50% Glycerol, 0.01M PBS, pH 7.4

Form: Liquid

Storage: Upon receipt, store at -20°C or -80°C. Avoid repeated freeze.

Initial Research Areas: Cell Biology

Research Areas: Epigenetics & Nuclear Signaling;Cell biology;Signal transduction

View AllClose

0 Reviews

View AllClose