NDUFAF2 Antibody | CSB-PA836643LA01HU

(No reviews yet) Write a Review
SKU:
CSB-PA836643LA01HU
Availability:
3 to 7 Working Days
  • NDUFAF2 Antibody
  • Western Blot<br />
 Positive WB detected in: Hela whole cell lysate, PC-3 whole cell lysate<br />
 All lanes: NDUFAF2 antibody at 2.7µg/ml<br />
 Secondary<br />
 Goat polyclonal to rabbit IgG at 1/50000 dilution<br />
 Predicted band size: 20 kDa<br />
 Observed band size: 20 kDa<br />
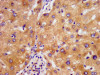
  • IHC image of CSB-PA836643LA01HU diluted at 1:500 and staining in paraffin-embedded human liver tissue performed on a Leica BondTM system. After dewaxing and hydration, antigen retrieval was mediated by high pressure in a citrate buffer (pH 6.0) . Section was blocked with 10% normal goat serum 30min at RT. Then primary antibody (1% BSA) was incubated at 4°C overnight. The primary is detected by a biotinylated secondary antibody and visualized using an HRP conjugated SP system.
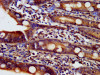
  • IHC image of CSB-PA836643LA01HU diluted at 1:500 and staining in paraffin-embedded human small intestine tissue performed on a Leica BondTM system. After dewaxing and hydration, antigen retrieval was mediated by high pressure in a citrate buffer (pH 6.0) . Section was blocked with 10% normal goat serum 30min at RT. Then primary antibody (1% BSA) was incubated at 4°C overnight. The primary is detected by a biotinylated secondary antibody and visualized using an HRP conjugated SP system.
€315.80 - €488.70

Description

NDUFAF2 Antibody | CSB-PA836643LA01HU | Cusabio

NDUFAF2 Antibody is Available at Gentaur Genprice with the fastest delivery.

Online Order Payment is possible or send quotation to info@gentaur.com.

Product Type: Polyclonal Antibody

Target Names: NDUFAF2

Aliases: NADH dehydrogenase [ubiquinone] 1 alpha subcomplex assembly factor 2 (B17.2-like) (B17.2L) (Mimitin) (Myc-induced mitochondrial protein) (MMTN) (NDUFA12-like protein), NDUFAF2, NDUFA12L

Background: Acts as a molecular chaperone for mitochondrial complex I assembly.

Isotype: IgG

Conjugate: Non-conjugated

Clonality: Polyclonal

Uniport ID: Q8N183

Host Species: Rabbit

Species Reactivity: Human

Immunogen: Recombinant Human NADH dehydrogenase [ubiquinone] 1 alpha subcomplex assembly factor 2 protein (117-169AA)

Immunogen Species: Human

Applications: ELISA, WB, IHC

Tested Applications: ELISA, WB, IHC; Recommended dilution: WB:1:500-1:5000, IHC:1:500-1:1000

Purification Method: >95%, Protein G purified

Dilution Ratio1: ELISA:1:2000-1:10000

Dilution Ratio2: WB:1:500-1:5000

Dilution Ratio3: IHC:1:500-1:1000

Dilution Ratio4:

Dilution Ratio5:

Dilution Ratio6:

Buffer: Preservative: 0.03% Proclin 300
Constituents: 50% Glycerol, 0.01M PBS, pH 7.4

Form: Liquid

Storage: Upon receipt, store at -20°C or -80°C. Avoid repeated freeze.

Initial Research Areas: Tags & Cell Markers

Research Areas: Cancer;Tags & Cell Markers;Metabolism;Signal transduction

View AllClose

0 Reviews

View AllClose