ELP2 Antibody | CSB-PA740224LA01HU

(No reviews yet) Write a Review
SKU:
CSB-PA740224LA01HU
Availability:
3 to 7 Working Days
  • ELP2 Antibody
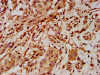
  • IHC image of CSB-PA740224LA01HU diluted at 1:500 and staining in paraffin-embedded human colon cancer performed on a Leica BondTM system. After dewaxing and hydration, antigen retrieval was mediated by high pressure in a citrate buffer (pH 6.0) . Section was blocked with 10% normal goat serum 30min at RT. Then primary antibody (1% BSA) was incubated at 4°C overnight. The primary is detected by a biotinylated secondary antibody and visualized using an HRP conjugated SP system.
  • IHC image of CSB-PA740224LA01HU diluted at 1:500 and staining in paraffin-embedded human liver cancer performed on a Leica BondTM system. After dewaxing and hydration, antigen retrieval was mediated by high pressure in a citrate buffer (pH 6.0) . Section was blocked with 10% normal goat serum 30min at RT. Then primary antibody (1% BSA) was incubated at 4°C overnight. The primary is detected by a biotinylated secondary antibody and visualized using an HRP conjugated SP system.
  • Immunofluorescence staining of Hela cells with CSB-PA740224LA01HU at 1:166, counter-stained with DAPI. The cells were fixed in 4% formaldehyde, permeabilized using 0.2% Triton X-100 and blocked in 10% normal Goat Serum. The cells were then incubated with the antibody overnight at 4°C. The secondary antibody was Alexa Fluor 488-congugated AffiniPure Goat Anti-Rabbit IgG (H+L) .
£252.64 - £390.96

Description

ELP2 Antibody | CSB-PA740224LA01HU | Cusabio

ELP2 Antibody is Available at Gentaur Genprice with the fastest delivery.

Online Order Payment is possible or send quotation to info@gentaur.com.

Product Type: Polyclonal Antibody

Target Names: ELP2

Aliases: Elongator complex protein 2 (ELP2) (SHINC-2) (STAT3-interacting protein 1) (StIP1), ELP2, STATIP1

Background: Regulates the ligand-dependent activation of STAT3.

Isotype: IgG

Conjugate: Non-conjugated

Clonality: Polyclonal

Uniport ID: Q6IA86

Host Species: Rabbit

Species Reactivity: Human

Immunogen: Recombinant Human Elongator complex protein 2 protein (323-457AA)

Immunogen Species: Human

Applications: ELISA, IHC, IF

Tested Applications: ELISA, IHC, IF; Recommended dilution: IHC:1:500-1:1000, IF:1:50-1:200

Purification Method: >95%, Protein G purified

Dilution Ratio1: ELISA:1:2000-1:10000

Dilution Ratio2: IHC:1:500-1:1000

Dilution Ratio3: IF:1:50-1:200

Dilution Ratio4:

Dilution Ratio5:

Dilution Ratio6:

Buffer: Preservative: 0.03% Proclin 300
Constituents: 50% Glycerol, 0.01M PBS, pH 7.4

Form: Liquid

Storage: Upon receipt, store at -20°C or -80°C. Avoid repeated freeze.

Initial Research Areas: Signal Transduction

Research Areas: Epigenetics & Nuclear Signaling;Signal transduction

View AllClose

0 Reviews

View AllClose