DUSP6 Antibody | CSB-PA621973LA01HU

(No reviews yet) Write a Review
SKU:
CSB-PA621973LA01HU
Availability:
3 to 7 Working Days
  • DUSP6 Antibody
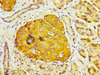
  • IHC image of CSB-PA621973LA01HU diluted at 1:200 and staining in paraffin-embedded human lung cancer performed on a Leica BondTM system. After dewaxing and hydration, antigen retrieval was mediated by high pressure in a citrate buffer (pH 6.0) . Section was blocked with 10% normal goat serum 30min at RT. Then primary antibody (1% BSA) was incubated at 4°C overnight. The primary is detected by a biotinylated secondary antibody and visualized using an HRP conjugated SP system.
  • IHC image of CSB-PA621973LA01HU diluted at 1:200 and staining in paraffin-embedded human pancreatic tissue performed on a Leica BondTM system. After dewaxing and hydration, antigen retrieval was mediated by high pressure in a citrate buffer (pH 6.0) . Section was blocked with 10% normal goat serum 30min at RT. Then primary antibody (1% BSA) was incubated at 4°C overnight. The primary is detected by a biotinylated secondary antibody and visualized using an HRP conjugated SP system.
  • Immunofluorescence staining of Hela cells with CSB-PA621973LA01HU at 1:66, counter-stained with DAPI. The cells were fixed in 4% formaldehyde, permeabilized using 0.2% Triton X-100 and blocked in 10% normal Goat Serum. The cells were then incubated with the antibody overnight at 4°C. The secondary antibody was Alexa Fluor 488-congugated AffiniPure Goat Anti-Rabbit IgG (H+L) .
£252.64 - £390.96

Description

DUSP6 Antibody | CSB-PA621973LA01HU | Cusabio

DUSP6 Antibody is Available at Gentaur Genprice with the fastest delivery.

Online Order Payment is possible or send quotation to info@gentaur.com.

Product Type: Polyclonal Antibody

Target Names: DUSP6

Aliases: Dual specificity protein phosphatase 6 (EC 3.1.3.16) (EC 3.1.3.48) (Dual specificity protein phosphatase PYST1) (Mitogen-activated protein kinase phosphatase 3) (MAP kinase phosphatase 3) (MKP-3), DUSP6, MKP3 PYST1

Background: Inactivates MAP kinases. Has a specificity for the ERK family (PubMed:9858808) . Plays an important role in alleviating chronic postoperative pain. Necessary for the normal dephosphorylation of the long-lasting phosphorylated forms of spinal MAPK1/3 and MAP kinase p38 induced by peripheral surgery, which drives the resolution of acute postoperative allodynia (By similarity) .

Isotype: IgG

Conjugate: Non-conjugated

Clonality: Polyclonal

Uniport ID: Q16828

Host Species: Rabbit

Species Reactivity: Human

Immunogen: Recombinant Human Dual specificity protein phosphatase 6 protein (100-206AA)

Immunogen Species: Human

Applications: ELISA, IHC, IF

Tested Applications: ELISA, IHC, IF; Recommended dilution: IHC:1:200-1:500, IF:1:50-1:200

Purification Method: >95%, Protein G purified

Dilution Ratio1: ELISA:1:2000-1:10000

Dilution Ratio2: IHC:1:200-1:500

Dilution Ratio3: IF:1:50-1:200

Dilution Ratio4:

Dilution Ratio5:

Dilution Ratio6:

Buffer: Preservative: 0.03% Proclin 300
Constituents: 50% Glycerol, 0.01M PBS, pH 7.4

Form: Liquid

Storage: Upon receipt, store at -20°C or -80°C. Avoid repeated freeze.

Initial Research Areas: Neuroscience

Research Areas: Neuroscience;Signal transduction

View AllClose

0 Reviews

View AllClose