ATPIF1 Antibody | CSB-PA569426

(No reviews yet) Write a Review
SKU:
CSB-PA569426
Availability:
3 to 7 Working Days
  • ATPIF1 Antibody
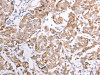
  • The image on the left is immunohistochemistry of paraffin-embedded Human thyroid cancer tissue using CSB-PA569426 (ATPIF1 Antibody) at dilution 1/50, on the right is treated with fusion protein. (Original magnification: ×200)
  • The image on the left is immunohistochemistry of paraffin-embedded Human breast cancer tissue using CSB-PA569426 (ATPIF1 Antibody) at dilution 1/50, on the right is treated with fusion protein. (Original magnification: ×200)
  • Gel: 10+12+15%SDS-PAGE, Lysate: 40 μg, Lane 1-4: Hela cells, Jurkat cells, MCF7 cells, A431 cells, Primary antibody: CSB-PA569426 (ATPIF1 Antibody) at dilution 1/1200, Secondary antibody: Goat anti rabbit IgG at 1/8000 dilution, Exposure time: 2 minutes
€315.80 - €488.70

Description

ATPIF1 Antibody | CSB-PA569426 | Cusabio

ATPIF1 Antibody is Available at Gentaur Genprice with the fastest delivery.

Online Order Payment is possible or send quotation to info@gentaur.com.

Product Type: Polyclonal Antibody

Target Names: ATPIF1

Aliases: ATPase inhibitory factor 1

Background: ATPase inhibitor, mitochondrial is an enzyme that in humans is encoded by the ATPIF1 gene. This gene encodes a mitochondrial ATPase inhibitor. Alternative splicing occurs at this locus and three transcript variants encoding distinct isoforms have been identified. It prevents ATPase from switching to ATP hydrolysis during collapse of the electrochemical gradient, for example during oxygen deprivation ATP synthase inhibitor forms a one to one complex with the F1 ATPase, possibly by binding at the alpha-beta interface. It is thought to inhibit ATP synthesis by preventing the release of ATP. The inhibitor has two oligomeric states, dimer (the active state) and tetramer.

Isotype: IgG

Conjugate: Non-conjugated

Clonality: Polyclonal

Uniport ID: Q9UII2

Host Species: Rabbit

Species Reactivity: Human

Immunogen: Fusion protein of human ATPIF1

Immunogen Species: Human

Applications: ELISA, WB, IHC

Tested Applications: ELISA, WB, IHC;ELISA:1:2000-1:10000, WB:1:1000-1:5000, IHC:1:50-1:200

Purification Method: Antigen affinity purification

Dilution Ratio1: ELISA:1:2000-1:10000

Dilution Ratio2: WB:1:1000-1:5000

Dilution Ratio3: IHC:1:50-1:200

Dilution Ratio4:

Dilution Ratio5:

Dilution Ratio6:

Buffer: -20°C, pH7.4 PBS, 0.05% NaN3, 40% Glycerol

Form: Liquid

Storage: Upon receipt, store at -20°C or -80°C. Avoid repeated freeze.

Initial Research Areas: Tags & Cell Markers

Research Areas: Cancer;Tags & Cell Markers;Metabolism;Signal transduction

View AllClose

0 Reviews

View AllClose