AIMP1 Antibody | CSB-PA618638EA01HU

(No reviews yet) Write a Review
SKU:
CSB-PA618638EA01HU
Availability:
3 to 7 Working Days
  • AIMP1 Antibody
  • Western Blot<br />
 Positive WB detected in: Hela whole cell lysate, HepG2 whole cell lysate, MCF-7 whole cell lysate, A549 whole cell lysate<br />
 All lanes: AIMP1 antibody at 3.7µg/ml<br />
 Secondary<br />
 Goat polyclonal to rabbit IgG at 1/50000 dilution<br />
 Predicted band size: 35, 38 kDa<br />
 Observed band size: 35 kDa<br />
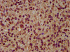
  • IHC image of CSB-PA618638EA01HU diluted at 1:200 and staining in paraffin-embedded human glioma performed on a Leica BondTM system. After dewaxing and hydration, antigen retrieval was mediated by high pressure in a citrate buffer (pH 6.0) . Section was blocked with 10% normal goat serum 30min at RT. Then primary antibody (1% BSA) was incubated at 4°C overnight. The primary is detected by a biotinylated secondary antibody and visualized using an HRP conjugated SP system.
  • IHC image of CSB-PA618638EA01HU diluted at 1:200 and staining in paraffin-embedded human brain tissue performed on a Leica BondTM system. After dewaxing and hydration, antigen retrieval was mediated by high pressure in a citrate buffer (pH 6.0) . Section was blocked with 10% normal goat serum 30min at RT. Then primary antibody (1% BSA) was incubated at 4°C overnight. The primary is detected by a biotinylated secondary antibody and visualized using an HRP conjugated SP system.
  • Immunofluorescence staining of Hela cells with CSB-PA618638EA01HU at 1:66, counter-stained with DAPI. The cells were fixed in 4% formaldehyde, permeabilized using 0.2% Triton X-100 and blocked in 10% normal Goat Serum. The cells were then incubated with the antibody overnight at 4°C. The secondary antibody was Alexa Fluor 488-congugated AffiniPure Goat Anti-Rabbit IgG (H+L) .
$378.96 - $586.44

Description

AIMP1 Antibody | CSB-PA618638EA01HU | Cusabio

AIMP1 Antibody is Available at Gentaur Genprice with the fastest delivery.

Online Order Payment is possible or send quotation to info@gentaur.com.

Product Type: Polyclonal Antibody

Target Names: AIMP1

Aliases: Aminoacyl tRNA synthase complex-interacting multifunctional protein 1 (Multisynthase complex auxiliary component p43) [Cleaved into: Endothelial monocyte-activating polypeptide 2 (EMAP-2) (Endothelial monocyte-activating polypeptide II) (EMAP-II) (Small inducible cytokine subfamily E member 1) ], AIMP1, EMAP2 SCYE1

Background: Non-catalytic component of the multisynthase complex. Stimulates the catalytic activity of cytoplasmic arginyl-tRNA synthase. Binds tRNA. Possesses inflammatory cytokine activity. Negatively regulates TGF-beta signaling through stabilization of SMURF2 by binding to SMURF2 and inhibiting its SMAD7-mediated degradation. Involved in glucose homeostasis through induction of glucagon secretion at low glucose levels. Promotes dermal fibroblast proliferation and wound repair. Regulates KDELR1-mediated retention of HSP90B1/gp96 in the endoplasmic reticulum. Plays a role in angiogenesis by inducing endothelial cell migration at low concentrations and endothelian cell apoptosis at high concentrations. Induces maturation of dendritic cells and monocyte cell adhesion. Modulates endothelial cell responses by degrading HIF-1A through interaction with PSMA7.

Isotype: IgG

Conjugate: Non-conjugated

Clonality: Polyclonal

Uniport ID: Q12904

Host Species: Rabbit

Species Reactivity: Human

Immunogen: Recombinant Human Aminoacyl tRNA synthase complex-interacting multifunctional protein 1 protein (25-180AA)

Immunogen Species: Human

Applications: ELISA, WB, IHC, IF

Tested Applications: ELISA, WB, IHC, IF; Recommended dilution: WB:1:500-1:5000, IHC:1:200-1:500, IF:1:50-1:200

Purification Method: >95%, Protein G purified

Dilution Ratio1: ELISA:1:2000-1:10000

Dilution Ratio2: WB:1:500-1:5000

Dilution Ratio3: IHC:1:200-1:500

Dilution Ratio4: IF:1:50-1:200

Dilution Ratio5:

Dilution Ratio6:

Buffer: Preservative: 0.03% Proclin 300
Constituents: 50% Glycerol, 0.01M PBS, pH 7.4

Form: Liquid

Storage: Upon receipt, store at -20°C or -80°C. Avoid repeated freeze.

Initial Research Areas: Cell Biology

Research Areas: Epigenetics & Nuclear Signaling;Cancer;Cardiovascular;Cell biology;Tags & Cell Markers;Immunology

View AllClose

0 Reviews

View AllClose