ACVR2B Antibody | CSB-PA206692

(No reviews yet) Write a Review
SKU:
CSB-PA206692
Availability:
3 to 7 Working Days
  • ACVR2B Antibody
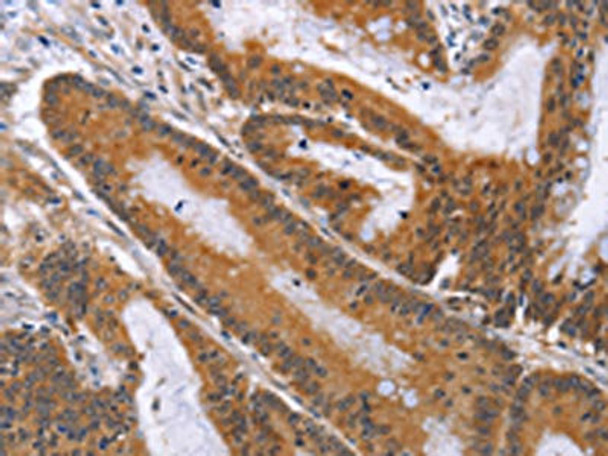
  • The image on the left is immunohistochemistry of paraffin-embedded Human liver cancer tissue using CSB-PA206692 (ACVR2B Antibody) at dilution 1/50, on the right is treated with fusion protein. (Original magnification: ×200)
  • The image on the left is immunohistochemistry of paraffin-embedded Human colon cancer tissue using CSB-PA206692 (ACVR2B Antibody) at dilution 1/50, on the right is treated with fusion protein. (Original magnification: ×200)
  • Gel: 8%SDS-PAGE, Lysate: 40 μg, Lane: Human fetal brain tissue, Primary antibody: CSB-PA206692 (ACVR2B Antibody) at dilution 1/300, Secondary antibody: Goat anti rabbit IgG at 1/8000 dilution, Exposure time: 20 seconds
$378.96 - $586.44

Description

ACVR2B Antibody | CSB-PA206692 | Cusabio

ACVR2B Antibody is Available at Gentaur Genprice with the fastest delivery.

Online Order Payment is possible or send quotation to info@gentaur.com.

Product Type: Polyclonal Antibody

Target Names: ACVR2B

Aliases: activin A receptor, type IIB

Background: Activins are dimeric growth and differentiation factors which belong to the transforming growth factor-beta (TGF-beta) superfamily of structurally related signaling proteins. Activins signal through a heteromeric complex of receptor serine kinases which include at least two type I (I and IB) and two type II (II and IIB) receptors. These receptors are all transmembrane proteins, composed of a ligand-binding extracellular domain with cysteine-rich region, a transmembrane domain, and a cytoplasmic domain with predicted serine/threonine specificity. Type I receptors are essential for signaling; and type II receptors are required for binding ligands and for expression of type I receptors. Type I and II receptors form a stable complex after ligand binding, resulting in phosphorylation of type I receptors by type II receptors. Type II receptors are considered to be constitutively active kinases. This gene encodes activin A type IIB receptor, which displays a 3- to 4-fold higher affinity for the ligand than activin A type II receptor.

Isotype: IgG

Conjugate: Non-conjugated

Clonality: Polyclonal

Uniport ID: Q13705

Host Species: Rabbit

Species Reactivity: Human, Mouse, Rat

Immunogen: Fusion protein of human ACVR2B

Immunogen Species: Human

Applications: ELISA, WB, IHC

Tested Applications: ELISA, WB, IHC;ELISA:1:1000-1:5000, WB:1:200-1:1000, IHC:1:50-1:200

Purification Method: Antigen affinity purification

Dilution Ratio1: ELISA:1:1000-1:5000

Dilution Ratio2: WB:1:200-1:1000

Dilution Ratio3: IHC:1:50-1:200

Dilution Ratio4:

Dilution Ratio5:

Dilution Ratio6:

Buffer: -20°C, pH7.4 PBS, 0.05% NaN3, 40% Glycerol

Form: Liquid

Storage: Upon receipt, store at -20°C or -80°C. Avoid repeated freeze.

Initial Research Areas: Signal Transduction

Research Areas: Signal transduction;Stem cells

View AllClose

0 Reviews

View AllClose