PLIN2 Antibody | CSB-PA065885

(No reviews yet) Write a Review
SKU:
CSB-PA065885
Availability:
3 to 7 Working Days
  • PLIN2 Antibody
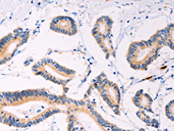
  • The image on the left is immunohistochemistry of paraffin-embedded Human liver cancer tissue using CSB-PA065885 (PLIN2 Antibody) at dilution 1/20, on the right is treated with synthetic peptide. (Original magnification: ×200)
  • The image on the left is immunohistochemistry of paraffin-embedded Human colon cancer tissue using CSB-PA065885 (PLIN2 Antibody) at dilution 1/20, on the right is treated with synthetic peptide. (Original magnification: ×200)
  • Gel: 10%SDS-PAGE, Lysate: 40 μg, Lane 1-2: Human liver cancer tissue, mouse brain tissue, Primary antibody: CSB-PA065885 (PLIN2 Antibody) at dilution 1/200, Secondary antibody: Goat anti rabbit IgG at 1/8000 dilution, Exposure time: 40 seconds
€315.80 - €488.70

Description

PLIN2 Antibody | CSB-PA065885 | Cusabio

PLIN2 Antibody is Available at Gentaur Genprice with the fastest delivery.

Online Order Payment is possible or send quotation to info@gentaur.com.

Product Type: Polyclonal Antibody

Target Names: PLIN2

Aliases: Perilipin 2

Background: The protein encoded by this gene belongs to the perilipin family, members of which coat intracellular lipid storage droplets. This protein is associated with the lipid globule surface membrane material, and maybe involved in development and maintenance of adipose tissue. However, it is not restricted to adipocytes as previously thought, but is found in a wide range of cultured cell lines, including fibroblasts, endothelial and epithelial cells, and tissues, such as lactating mammary gland, adrenal cortex, Sertoli and Leydig cells, and hepatocytes in alcoholic liver cirrhosis, suggesting that it may serve as a marker of lipid accumulation in diverse cell types and diseases. Alternatively spliced transcript variants have been found for this gene.

Isotype: IgG

Conjugate: Non-conjugated

Clonality: Polyclonal

Uniport ID: Q99541

Host Species: Rabbit

Species Reactivity: Human, Mouse

Immunogen: Synthetic peptide of human PLIN2

Immunogen Species: Human

Applications: ELISA, WB, IHC

Tested Applications: ELISA, WB, IHC;ELISA:1:2000-1:5000, WB:1:500-1:2000, IHC:1:25-1:100

Purification Method: Antigen affinity purification

Dilution Ratio1: ELISA:1:2000-1:5000

Dilution Ratio2: WB:1:500-1:2000

Dilution Ratio3: IHC:1:25-1:100

Dilution Ratio4:

Dilution Ratio5:

Dilution Ratio6:

Buffer: -20°C, pH7.4 PBS, 0.05% NaN3, 40% Glycerol

Form: Liquid

Storage: Upon receipt, store at -20°C or -80°C. Avoid repeated freeze.

Initial Research Areas: Cardiovascular

Research Areas: Cancer;Cardiovascular;Metabolism;Signal transduction

View AllClose

0 Reviews

View AllClose