FOXQ1 Antibody | CSB-PA874860LA01HU

(No reviews yet) Write a Review
SKU:
CSB-PA874860LA01HU
Availability:
3 to 7 Working Days
  • FOXQ1 Antibody
  • Western Blot<br />
 Positive WB detected in: Jurkat whole cell lysate<br />
 All lanes: FOXQ1 antibody at 3µg/ml<br />
 Secondary<br />
 Goat polyclonal to rabbit IgG at 1/50000 dilution<br />
 Predicted band size: 42 kDa<br />
 Observed band size: 42 kDa<br />
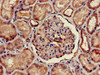
  • Immunohistochemistry of paraffin-embedded human kidney tissue using CSB-PA874860LA01HU at dilution of 1:100
  • Immunofluorescent analysis of PC-3 cells using CSB-PA874860LA01HU at dilution of 1:100 and Alexa Fluor 488-congugated AffiniPure Goat Anti-Rabbit IgG (H+L)
€315.80 - €488.70

Description

FOXQ1 Antibody | CSB-PA874860LA01HU | Cusabio

FOXQ1 Antibody is Available at Gentaur Genprice with the fastest delivery.

Online Order Payment is possible or send quotation to info@gentaur.com.

Product Type: Polyclonal Antibody

Target Names: FOXQ1

Aliases: Forkhead box protein Q1 (HNF-3/forkhead-like protein 1) (HFH-1) (Hepatocyte nuclear factor 3 forkhead homolog 1), FOXQ1, HFH1

Background: Plays a role in hair follicle differentiation.

Isotype: IgG

Conjugate: Non-conjugated

Clonality: Polyclonal

Uniport ID: Q9C009

Host Species: Rabbit

Species Reactivity: Human

Immunogen: Recombinant Human Forkhead box protein Q1 protein (10-123AA)

Immunogen Species: Human

Applications: ELISA, WB, IHC, IF

Tested Applications: ELISA, WB, IHC, IF; Recommended dilution: WB:1:500-1:5000, IHC:1:20-1:200, IF:1:50-1:200

Purification Method: >95%, Protein G purified

Dilution Ratio1: ELISA:1:2000-1:10000

Dilution Ratio2: WB:1:500-1:5000

Dilution Ratio3: IHC:1:20-1:200

Dilution Ratio4: IF:1:50-1:200

Dilution Ratio5:

Dilution Ratio6:

Buffer: Preservative: 0.03% Proclin 300
Constituents: 50% Glycerol, 0.01M PBS, pH 7.4

Form: Liquid

Storage: Upon receipt, store at -20°C or -80°C. Avoid repeated freeze.

Initial Research Areas: Epigenetics and Nuclear Signaling

Research Areas: Epigenetics & Nuclear Signaling

View AllClose

0 Reviews

View AllClose