EFEMP1 Antibody | CSB-PA007450LA01HU

(No reviews yet) Write a Review
SKU:
CSB-PA007450LA01HU
Availability:
3 to 7 Working Days
  • EFEMP1 Antibody
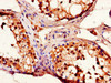
  • Immunohistochemistry of paraffin-embedded human testis tissue using CSB-PA007450LA01HU at dilution of 1:100
  • Immunofluorescent analysis of Hela cells using CSB-PA007450LA01HU at dilution of 1:100 and Alexa Fluor 488-congugated AffiniPure Goat Anti-Rabbit IgG (H+L)
€315.80 - €488.70

Description

EFEMP1 Antibody | CSB-PA007450LA01HU | Cusabio

EFEMP1 Antibody is Available at Gentaur Genprice with the fastest delivery.

Online Order Payment is possible or send quotation to info@gentaur.com.

Product Type: Polyclonal Antibody

Target Names: EFEMP1

Aliases: EGF-containing fibulin-like extracellular matrix protein 1 (Extracellular protein S1-5) (Fibrillin-like protein) (Fibulin-3) (FIBL-3), EFEMP1, FBLN3 FBNL

Background: Binds EGFR, the EGF receptor, inducing EGFR autophosphorylation and the activation of downstream signaling pathways. May play a role in cell adhesion and migration. May function as a negative regulator of chondrocyte differentiation. In the olfactory epithelium, it may regulate glial cell migration, differentiation and the ability of glial cells to support neuronal neurite outgrowth.

Isotype: IgG

Conjugate: Non-conjugated

Clonality: Polyclonal

Uniport ID: Q12805

Host Species: Rabbit

Species Reactivity: Human

Immunogen: Recombinant Human EGF-containing fibulin-like extracellular matrix protein 1 protein (27-184AA)

Immunogen Species: Human

Applications: ELISA, IHC, IF

Tested Applications: ELISA, IHC, IF; Recommended dilution: IHC:1:20-1:200, IF:1:50-1:200

Purification Method: >95%, Protein G purified

Dilution Ratio1: ELISA:1:2000-1:10000

Dilution Ratio2: IHC:1:20-1:200

Dilution Ratio3: IF:1:50-1:200

Dilution Ratio4:

Dilution Ratio5:

Dilution Ratio6:

Buffer: Preservative: 0.03% Proclin 300
Constituents: 50% Glycerol, 0.01M PBS, PH 7.4

Form: Liquid

Storage: Upon receipt, store at -20°C or -80°C. Avoid repeated freeze.

Initial Research Areas: Signal Transduction

Research Areas: Neuroscience;Signal transduction

View AllClose

0 Reviews

View AllClose