BAG3 Antibody | CSB-RA002531A0HU

(No reviews yet) Write a Review
SKU:
CSB-RA002531A0HU
Availability:
3 to 7 Working Days
  • BAG3 Antibody
  • Western Blot<br />
 Positive WB detected in: Hela whole cell lysate, 293 whole cell lysate, A549 whole cell lysate, HepG2 whole cell lysate, U87 whole cell lysate<br />
 All lanes: BAG3 antibody at 0.73µg/ml<br />
 Secondary<br />
 Goat polyclonal to rabbit IgG at 1/50000 dilution<br />
 Predicted band size: 62 KDa<br />
 Observed band size: 80 KDa<br />
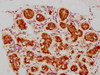
  • IHC image of CSB-RA002531A0HU diluted at 1:73.75 and staining in paraffin-embedded human breast cancer performed on a Leica BondTM system. After dewaxing and hydration, antigen retrieval was mediated by high pressure in a citrate buffer (pH 6.0). Section was blocked with 10% normal goat serum 30min at RT. Then primary antibody (1% BSA) was incubated at 4°C overnight. The primary is detected by a biotinylated secondary antibody and visualized using an HRP conjugated SP system.
€373.00 - €555.00

Description

BAG3 Antibody | CSB-RA002531A0HU | Cusabio

BAG3 Antibody is Available at Gentaur Genprice with the fastest delivery.

Online Order Payment is possible or send quotation to info@gentaur.com.

Antibody Type: Recombinant Antibody

Target Names: BAG3

Aliases: BAG family molecular chaperone regulator 3, BAG-3, Bcl-2-associated athanogene 3, Bcl-2-binding protein Bis, Docking protein CAIR-1, BAG3, BIS

Background: Co-chaperone for HSP70 and HSC70 chaperone proteins. Acts as a nucleotide-exchange factor (NEF) promoting the release of ADP from the HSP70 and HSC70 proteins thereby triggering client/substrate protein release. Nucleotide release is mediated via its binding to the nucleotide-binding domain (NBD) of HSPA8/HSC70 where as the substrate release is mediated via its binding to the substrate-binding domain (SBD) of HSPA8/HSC70 (PubMed:9873016, PubMed:27474739). Has anti-apoptotic activity (PubMed:10597216). Plays a role in the HSF1 nucleocytoplasmic transport (PubMed:26159920).

Isotype: Rabbit IgG

Conjugate: Non-conjugated

Clonality: Monoclonal

Clone Number: 3D8

Uniport ID: O95817

Modified: Cell Biology

species: Human

Species Reactivity: Human

Immunogen: A synthesized peptide derived from human BAG3

Tested Applications: ELISA, WB, IHC; Recommended dilution: WB:1:500-1:5000, IHC:1:50-1:200

Purification Method: Affinity-chromatography

Buffer: Rabbit IgG in phosphate buffered saline , pH 7.4, 150mM NaCl, 0.02% sodium azide and 50% glycerol.

Form: Liquid

Storage: Upon receipt, store at -20°C or -80°C. Avoid repeated freeze.

View AllClose

0 Reviews

View AllClose