APMAP Antibody | CSB-PA884629LA01HU

(No reviews yet) Write a Review
SKU:
CSB-PA884629LA01HU
Availability:
3 to 7 Working Days
  • APMAP Antibody
  • Western Blot<br />
 Positive WB detected in: HepG2 whole cell lysate, Rat liver tissue<br />
 All lanes: APMAP antibody at 3.1µg/ml<br />
 Secondary<br />
 Goat polyclonal to rabbit IgG at 1/50000 dilution<br />
 Predicted band size: 47, 33 kDa<br />
 Observed band size: 47 kDa<br />
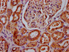
  • IHC image of CSB-PA884629LA01HU diluted at 1:400 and staining in paraffin-embedded human kidney tissue performed on a Leica BondTM system. After dewaxing and hydration, antigen retrieval was mediated by high pressure in a citrate buffer (pH 6.0) . Section was blocked with 10% normal goat serum 30min at RT. Then primary antibody (1% BSA) was incubated at 4°C overnight. The primary is detected by a biotinylated secondary antibody and visualized using an HRP conjugated SP system.
  • IHC image of CSB-PA884629LA01HU diluted at 1:400 and staining in paraffin-embedded human liver tissue performed on a Leica BondTM system. After dewaxing and hydration, antigen retrieval was mediated by high pressure in a citrate buffer (pH 6.0) . Section was blocked with 10% normal goat serum 30min at RT. Then primary antibody (1% BSA) was incubated at 4°C overnight. The primary is detected by a biotinylated secondary antibody and visualized using an HRP conjugated SP system.
  • Immunofluorescence staining of HepG2 cells with CSB-PA884629LA01HU at 1:133, counter-stained with DAPI. The cells were fixed in 4% formaldehyde, permeabilized using 0.2% Triton X-100 and blocked in 10% normal Goat Serum. The cells were then incubated with the antibody overnight at 4°C. The secondary antibody was Alexa Fluor 488-congugated AffiniPure Goat Anti-Rabbit IgG (H+L) .
€315.80 - €488.70

Description

APMAP Antibody | CSB-PA884629LA01HU | Cusabio

APMAP Antibody is Available at Gentaur Genprice with the fastest delivery.

Online Order Payment is possible or send quotation to info@gentaur.com.

Product Type: Polyclonal Antibody

Target Names: APMAP

Aliases: Adipocyte plasma membrane-associated protein (Protein BSCv), APMAP, C20orf3

Background: Exhibits strong arylesterase activity with beta-naphthyl acetate and phenyl acetate. May play a role in adipocyte differentiation.

Isotype: IgG

Conjugate: Non-conjugated

Clonality: Polyclonal

Uniport ID: Q9HDC9

Host Species: Rabbit

Species Reactivity: Human, Rat

Immunogen: Recombinant Human Adipocyte plasma membrane-associated protein (134-240AA)

Immunogen Species: Human

Applications: ELISA, WB, IHC, IF

Tested Applications: ELISA, WB, IHC, IF; Recommended dilution: WB:1:500-1:5000, IHC:1:200-1:500, IF:1:50-1:200

Purification Method: >95%, Protein G purified

Dilution Ratio1: ELISA:1:2000-1:10000

Dilution Ratio2: WB:1:500-1:5000

Dilution Ratio3: IHC:1:200-1:500

Dilution Ratio4: IF:1:50-1:200

Dilution Ratio5:

Dilution Ratio6:

Buffer: Preservative: 0.03% Proclin 300
Constituents: 50% Glycerol, 0.01M PBS, pH 7.4

Form: Liquid

Storage: Upon receipt, store at -20°C or -80°C. Avoid repeated freeze.

Initial Research Areas: Signal Transduction

Research Areas: Metabolism;Signal transduction

View AllClose

0 Reviews

View AllClose