AES Antibody | CSB-PA973928

(No reviews yet) Write a Review
SKU:
CSB-PA973928
Availability:
3 to 7 Working Days
  • AES Antibody
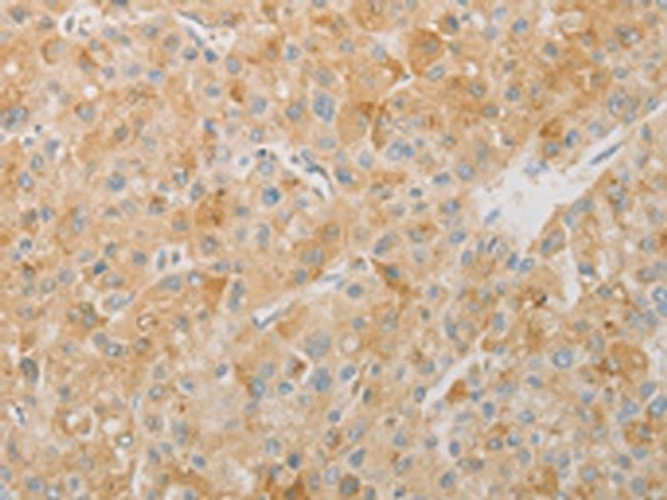
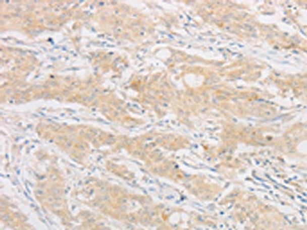
  • The image on the left is immunohistochemistry of paraffin-embedded Human liver cancer tissue using CSB-PA973928 (AES Antibody) at dilution 1/20, on the right is treated with fusion protein. (Original magnification: ×200)
  • The image on the left is immunohistochemistry of paraffin-embedded Human gastric cancer tissue using CSB-PA973928 (AES Antibody) at dilution 1/20, on the right is treated with fusion protein. (Original magnification: ×200)
€315.80 - €488.70

Description

AES Antibody | CSB-PA973928 | Cusabio

AES Antibody is Available at Gentaur Genprice with the fastest delivery.

Online Order Payment is possible or send quotation to info@gentaur.com.

Product Type: Polyclonal Antibody

Target Names: AES

Aliases: amino-terminal enhancer of split

Background: The protein encoded by this gene is similar in sequence to the amino terminus of Drosophila enhancer of split groucho, a protein involved in neurogenesis during embryonic development. The encoded protein, which belongs to the groucho/TLE family of proteins, can function as a homooligomer or as a heteroologimer with other family members to dominantly repress the expression of other family member genes. Three transcript variants encoding different isoforms have been found for this gene.

Isotype: IgG

Conjugate: Non-conjugated

Clonality: Polyclonal

Uniport ID: Q08117

Host Species: Rabbit

Species Reactivity: Human

Immunogen: Fusion protein of human AES

Immunogen Species: Human

Applications: ELISA, IHC

Tested Applications: ELISA, IHC;ELISA:1:2000-1:5000, IHC:1:25-1:100

Purification Method: Antigen affinity purification

Dilution Ratio1: ELISA:1:2000-1:5000

Dilution Ratio2: IHC:1:25-1:100

Dilution Ratio3:

Dilution Ratio4:

Dilution Ratio5:

Dilution Ratio6:

Buffer: -20°C, pH7.4 PBS, 0.05% NaN3, 40% Glycerol

Form: Liquid

Storage: Upon receipt, store at -20°C or -80°C. Avoid repeated freeze.

Initial Research Areas: Stem Cells

Research Areas: Epigenetics & Nuclear Signaling;Stem cells

View AllClose

0 Reviews

View AllClose